笑顔が美しくなる審美歯科
美しい口元が、あなたの人生を変える!岡山の皆様が「美しく、新しい自分」に出会うために。 当サロンの審美歯科は、見た目の美しさだけでなく、噛む・話すといった歯の本来の機能性を損なわないこと、そして可能な限り歯を削らないことを大切にしています。
すべての歯科治療にはメリットとデメリットが存在します。当サロンでは、それぞれの特徴を丁寧にご説明し、患者さま自身が納得して選べる治療を心がけています。総合歯科医院だからこそ実現できる、多角的で柔軟な治療プラン。まずはあなたの希望をお聞かせください。
セラミック矯正
短期間で歯並びや見た目が美しくなる!
セラミック矯正とは、歯のガタガタや色調を治すため、歯を削ってからセラミックを被せることで歯並びを揃え、ご希望の歯の形や色調に整える治療法です。セラミック矯正ではジルコニアに代表される、見た目が自然に近い色調のセラミックを使用します。
当サロンが選ばれる理由
- セラミック矯正は歯を全体的に削ることが基本となるため、安易にお勧めする治療ではありません。そのため、当サロンでは部分矯正を組み合わせるなどして、できるだけ歯を削らない治療法をご提案いたします。
- 当サロンでは、歯の強度・見た目・ご予算に応じてお選びいただける、3種類のセラミック素材をご用意しております。
- 当サロンでは、院内に歯科技工所を併設しており、また、審美歯科を専門とする歯科技工士が在籍しています。
- 施術名セラミック矯正
- 施術の説明歯並びの悪い歯をセラミック素材や様々な歯科治療を組み合わせて整える方法です。
- 施術の副作用(リスク)疼痛・咬合時痛・冷水痛・抜歯を伴う場合は腫脹や出血などを生じる事があります。麻酔を行う場合、腫れやむくみを一時的に生じる場合があります。セラミックは固い材料ですが、金属よりもろい面があり、欠けたり、外れたりする事があります。また、治療に際して神経の治療や抜歯が必要な場合もあります。
- 施術当時の総額(税込み)1歯につき110,000円~165,000円
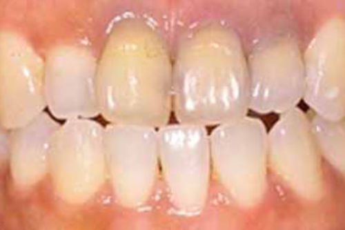
ホワイトニング
セルフでは叶わない、ワンランク上の白さ!
歯を白くするホワイトニングには様々な方法がありますが、サロンや美容室、自宅で行うセルフホワイトニングでは使用できる薬剤に制限があるため、着色汚れを落として歯本来の白さに戻す程度にとどまります。一方、歯科医院で受ける「医療ホワイトニング」では、さらに高い漂白効果が期待できます。
- 当サロンでは、噛み合わせが整い、歯の成熟が完了する「18歳から」ホワイトニング治療を受け付けております。
当サロンが選ばれる理由
- 価格破壊のホワイトニングコースを3種類(月々367円~550円/税込み)、ご用意しております。
※ホワイトニングを開始される際に、費用は総額でのお支払いとなり、都度払いはご利用いただけません。 - 日本歯科審美学会のホワイトニングコーディネーター認定者が2名在籍しています。
- 当サロンの歯のホワイトニングコースは、定期健診の受診が前提となりますが、長く続けることができるよう5年保証となっております。
- 施術名歯のホワイトニング
- 施術の説明加齢や食生活などによって変色した歯を漂白剤で脱色して白くする方法です。歯を削る必要もなく、麻酔も必要ありません。
- 施術の副作用(リスク)一時的な疼痛・冷水痛・歯の色ムラを生じることがあります。また患者さまの希望される白さまで到達できない場合もあります。
- 施術当時の総額(税込み)22,000円~33,000円
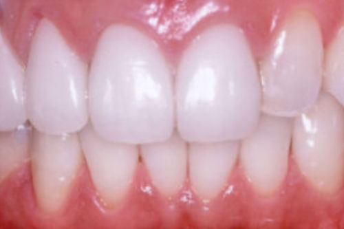
オールセラミック
短期間で美しく、白い自然な歯に!
銀歯やプラスチックの歯は避けたい。何度も通院したくない。金属アレルギーが心配。そんな方の願いを叶えるのが、機能性と美しさを兼ね備えたオールセラミック治療です。
当サロンが選ばれる理由
- 当サロンは歯科技工所を併設しており、簡単な症例であれば1回の治療で完了することも可能です。
- セラミック製の補綴物を専門に扱うセラミスト(歯科技工士)も在籍しています。
- 施術名オールセラミック
- 施術の説明色の悪い歯、形の悪い歯を白いオールセラミックに置き換える治療法です。
- 施術の副作用(リスク)疼痛・咬合時痛・冷水痛・抜歯を伴う場合は腫脹や出血などを生じる事があります。麻酔を行う場合、腫れやむくみを一時的に生じる場合があります。セラミックは固い材料ですが、金属よりもろい面があり、欠けたり、外れたりする事があります。また、治療に際して神経の治療や抜歯が必要な場合もあります。
- 施術当時の総額(税込み)1歯につき137,500円
その他の審美歯科治療
岡山ビューティースマイルサロンで受けられる、その他の審美歯科治療をご紹介します。当サロンは総合歯科医院ですので、様々な専門治療(矯正歯科やインプラント、オールオン4、入れ歯など)にも対応しています。そのため、治療を組み合わせることで、患者さまのご希望を実現できる場合があります。ですので、どの治療がよいか分からない場合はお気軽にご相談ください。
ホワイトスポット
歯の白い斑点を、歯を削らずに自然に目立たなくする治療
セラミックティース
歯科医師とセラミストが、自然で美しい白い歯をオーダーメイドで再現
ラミネートベニア
歯をほとんど削らず、薄いセラミックを貼り付けて理想の美しさを実現
メタルボンド
耐久性や強度、美しさを兼ね備えた伝統的な白い被せ物
ガム(歯茎)ホワイトニング
歯茎(歯肉)の黒ずみや着色を綺麗にするホワイトニング治療
ハイブリッドセラミック
プラスチック素材より強度が高く、自然な透明感の白い歯を再現
セラミックインレー
天然歯に近い色と質感を再現できる、審美性に優れた詰め物
審美歯科で期待できる嬉しい変化
審美歯科や歯のホワイトニングを行うことで、口元の見た目が整い、笑顔に自信が生まれ、第一印象がアップします。こうした治療後に期待できる嬉しい変化を6つご紹介します。
第一印象が大きく変わる
人は見た目から判断する傾向が強く、第一印象を左右する清潔感のある口元は好印象につながります。
笑顔に自信が持てる
歯が美しくなることで自然と笑えるようになり、前向きな気持ちになって自己肯定感がアップします。
外国では「白い歯=常識」
欧米では白い歯はエチケットとされ、国際社会で信頼を得るための自信が持てるようになります。
自己意識が高まる
歯を大切にすることで美意識や健康意識が高まり、毎日の生活が前向きに変化していきます。
清潔感・若々しさが増す
白く整った歯は清潔感があり、印象が明るくなることで実年齢より若く見られることもあります。
仕事や恋愛でもプラスに働く
営業職・接客業・婚活など、人と接する場面での第一印象がもっと自信が持てるようになります。
治療責任者のご紹介
岡山ビューティースマイルサロン
責任者:中野 浩輔(なかの こうすけ)
院長の中野は、若い頃から審美への関心が高く、岡山県内では早い時期から歯のホワイトニングや審美歯科治療を開始しました。また、アメリカ審美歯科学会や日本審美歯科学会の会員として学びを深めながら「歯のホワイトニング」や「ほうれい線」に関する書籍の執筆や、同業者向けホワイトニングセミナーの開催も行ってきました。
当サロンでは患者さまのご希望を第一に考え、審美面だけでなく、お口の機能面も重視したご提案を行っています。また、総合歯科医院ならではの強みを活かし、できる限り多様な歯科治療や、その組み合わせの中からお選びいただけるよう努めています。美しい歯や白い歯をご希望の方は、いつでもお気軽にご相談ください。
- 昭和62年3月: 岡山大学 歯学部 卒業
- 昭和62年4月: 岡山大学 歯学部 第一補綴科研修医
- 昭和63年4月: 岡山大学 歯学部 第一補綴科文部教官助手(勤務医)
- 平成4年4月: 現在地に「なかの歯科クリニック」開設
- 日本審美歯科学会会員
- アメリカ審美歯科学会会員
- JSOI(日本口腔インプラント学会)専修医
- JMMインプラント臨床マイスター
- ホワイトニング書籍執筆者
- 美容書籍(ほうれい線)執筆者
- ホワイトニング講師セミナー
男性の患者さまも増えています
美しい歯に興味はある。でも、一歩踏み出せないあなたへ...
「 男なのに審美歯科って、ちょっと気が引ける… 」
「 この年齢で今さら…なんて思われそうで不安 」
「 本当は、自分ももっと清潔感のある印象になりたい 」
そんな貴男にこそ、ぜひ知ってほしいことがあります。
当サロンでは、歯の矯正やホワイトニング・歯科ボツリヌスの経験をもち、美容にも前向きに取り組む60代の男性院長「中野浩輔」が、男性の悩みや不安に対して無料でご相談(メールまたはLINE)をお受けしています。
「 同じ男性だから話しやすい 」
「 この年代でも、自然に始められる勇気が出た 」
そんな声も多くいただいていますので、お気軽にご利用ください。
当サロンが選ばれる理由
監修医院: 医療法人なかの歯科クリニック
岡山ビューティースマイルサロンは、岡山県内で早い時期から歯のホワイトニングや審美歯科治療を取り入れてきた総合歯科医院です。また、ホワイトニングコーディネーターや審美歯科を得意とする歯科技工士の在籍、審美&予防歯科専門室のホワイトニングルームを設置するなど、力を入れております。
【 受付時間 】
- 午前は「 9:30~12:30 」
-
午後は月・火・木・金「 14:00~17:30 」
※水「 14:30~18:30 」、土「 14:00~16:30 」
治療の選択肢が多い
岡山の総合歯科医院
歯科技工所
併設
土曜診療あり
駐車場32台
完備
岡山大学歯学部
臨床研修施設
被曝量の少ない
歯科用CT
ホワイトニングコーディネーター
当サロンには日本歯科審美学会のホワイトニングコーディネーター認定者が2名在籍しています。また、院長をはじめ、スタッフ自身がホワイトニングを体験をして学んでいます。
自費の補綴物は5年間保証
当サロンでは自費治療の補綴物(詰め、被せ、義歯など)を使われた場合は5年間保証いたします。そのため、治療後は保証書を紛失しないよう大切に保管してください。
技工士在籍で治療がスムーズ
当サロンは歯科技工所の併設および、歯科技工士が在籍しています。そのため、審美歯科で使用する人工物などの用意がスムーズに行え、治療期間や回数が短くなります。
ホワイトニングルーム
当サロンにはホワイトニングや審美歯科、歯の予防専用の治療室「ホワイトニングルーム」がございます。患者さまのプライバシーを守り、リラックスできる空間となっています。
金属アレルギーの方にも対応
当サロンは、皮膚科と連携したノンメタル治療をご提供しています。金属の歯の除去にもご対応していますので、アレルギーが気になる方は無料相談サービスで悩みを聞かせてください。
院長が答える無料相談
メールやLINEで無料相談を受付中です。ご返答は岡山大学歯学部時代より審美との関連が深い「セラミックとレジンの接着」を研究し、審美歯科治療の経験を積んできた院長の中野が担当します。
コスパ良好ホワイトニングコース
歯のホワイトニングをできるだけ安く、長期的に続けたい患者さまに向けて開発した、当サロン独自のホワイトニングコースがございます。3つのコースからお選びください。
お財布に優しい分割払い
審美歯科治療は基本、自由診療になりますが、当サロンではクレジットカードやデンタルローンによる分割払いが可能です。金額によっては、医療費控除の対象となる場合があります。
院長はホワイトニング講師
院長は同業者が対象のホワイトニングセミナーを県内で3回、大阪で1回開催しました。また、アメリカ審美歯科学会や日本審美歯科学会の会員として新しい審美歯科情報を学んでいます。
総合歯科×幅広い治療選択肢
当サロンは総合歯科ですので審美治療に限らず、幅広い歯科治療から最適な選択肢をご案内できます。メリット・デメリットも丁寧にご説明し、ご一緒に治療法を決めていきましょう。
女性の感性を活かした治療
当サロンには、幅広い年代の女性歯科衛生士が20名以上在籍しています。女性ならではの視点を活かし、機能性はもちろん、美しさにもこだわった審美歯科治療をご提供しています。
各コンテンツのご案内
岡山ビューティースマイルサロンや監修医院の医療法人なかの歯科クリニックの主要コンテンツをご紹介します。探している情報が見つからない場合は、無料相談サービスをご利用ください。
審美グッズ
歯やお口元の美しさを手助けしてくれるデンタルグッズをご紹介します。当サロンで取り扱いをしていますので、ご興味があればお声かけください。










