岡山で金属アレルギーに対応したノンメタル・メタルフリー歯科治療なら、岡山ビューティースマイルサロンへ

MENU

金属アレルギー専門ノンメタル歯科治療

Webで予約する 0120-960-471

受付時間 平日9:30~

金属アレルギーの

相談、治療なら

お任せください

岡山で金属アレルギーの方向けの歯科治療をご希望なら、岡山ビューティースマイルサロンへ
> 岡山で金属アレルギーの方向けのご相談はお気軽に
岡山で金属アレルギーの方向けのノンメタル・メタルフリー歯科治療医院
01

駐車場32台分完備

02

保育士在中

03

ドクター
8名体制

金属アレルギー歯科治療の責任者「中野浩輔」

金属アレルギーでお困りなら
岡山ビューティースマイルサロンにお任せください。

歯科と皮膚科を連携させた医科歯科連携治療を
知り尽くした歯科医師が、お口と身体を健康にします。

24時間受付中
Webで予約する
お電話でも承ります
0120-960-471 受付時間 平日9:30~

Results

当サロンの実績

当サロンの実績は下記の通りです。

年間通院人数

2022年度 自院調べ

口コミ平均

2025年度 Googleビジネスプロフィール

リピート率

%

2022年度 自院調べ

岡山の歯医者で働く歯科スタッフの朝礼
金属アレルギーに対応した歯科金属の除去治療
岡山の審美歯医者の院内風景
金属アレルギー患者さまのためのマイクロスコープ歯科治療
金属アレルギー歯科治療の様子

当サロンについて About

01 心から安心・リラックスできる総合的なケア

当サロンは心と体のケアに注力。リラックスできる雰囲気、専門スタッフ、そして徹底した衛生管理で、安心・リラックスを実現。安全と誠実が約束された快適な診療空間で、あなたの健康を最優先に考えます。

岡山(岡山市北区)にある歯医者の診療の様子

診察室 診察室には、それぞれ敷居があるので隣の患者さまを気にせず治療を受けられます。

岡山ビューティースマイルサロンの受付

受付 待合室のそばには受付があります。当サロンに来られましたら、受付スタッフに診察券と保険証を提出してください。

金属アレルギーの患者さまも利用する岡山の歯医者の待合室

待合室 玄関を入るとすぐにあるのが待合室です。患者さまがゆったりと心地よくお待ちできる空間になっています。

岡山ビューティースマイルサロンの保育ルーム(託児室)

保育ルーム(託児室) 小さなお子様を保育士が預かる託児室も用意しています。お子様のいる親御さまが安心して当サロンに来られるよう一時保育は無料でおこなっています。

02 これからの歯科医療の追求

現代の歯科医療は進化しており、痛みが少なく、効果的な治療が可能です。当サロンでは、医療機器を厳選して採用し、治療の質を高めています。短期間での効果を実感できるよう工夫しています。

精密な処置を行うマイクロスコープ歯科治療

歯科用マイクロスコープ

マイクロスコープと呼ばれる歯科用顕微鏡「カールツァイス ピコモラー」は、お口の中を高倍率に拡大した状態で見ることができます。

歯の型取りに使用する口腔内カメラ

口腔内カメラ

アイテロエレメンツ(iTero element)は光学印象機器とも呼ばれる口腔内カメラです。 今まで精密な型どりをするには何度も型どり作業を繰り返す必要があり

被ばく量の少ない歯科用コーンビームCT

歯科用コーンビームCT

当サロンは歯科用機器専門メーカーにおいて、世界トップメーカーのひとつであるシロナ社(ドイツ)の歯科用コーンビームCT「ガリレオス(GALILEOS)」を備えています。

03 資格・表彰

当サロンの院長「中野浩輔」は、患者さまに寄り添ったオーダーメイドの治療を提供するために、高度な専門性と豊富な経験を持っています。数々の資格と受賞歴がその証です。こちらでは院長が有する資格の一部についてご紹介します。

日本口腔インプラント学会専修医、JMMインプラント臨床マイスター、リハビリテーション学会認定医、日本審美歯科学会会員、アメリカ審美歯科学会(AACD)会員、臨床研修指導医など

金属アレルギー歯科治療責任者の資格・表彰

金属アレルギーの可能性をチェック

金属アレルギーを確認するための3つの質問

金属アレルギーかもしれない?もしかすると、銀歯などの金属が原因かも?

このような症状はありませんか?

  • 皮膚が痒くなる
  • 皮膚に赤い部分がある
  • 皮膚にブツブツがある
  • 口内炎ができやすい

金属アレルギーの可能性があります。

歯科治療においては、金銀パラジウム合金、水銀アマルガム、ニッケルクロム合金、銀合金、コバルトクロムなどの金属材料が使用されます。しかし、これらの材料の中には身体への影響が心配されるものもあります。

※円グラフは、1987年、東京都済生会中央病院皮膚科が行った金属パッチテストの結果です。

金属アレルギーが心配な方へ。身につける金属に気をつけていますか?

身につける金属に気をつけていますか?

  • ブレスレット
  • 指輪
  • ネックレス
  • ピアス

身に着けるものにも注意が必要です。

金属アレルギーのある方は、日常で身につけるメガネやアクセサリーにも注意が必要です。特にニッケル・コバルト・クロムなどの金属は、アレルギー反応を起こしやすい代表的な素材です。汗や皮脂によって金属イオンが溶け出し、皮膚に触れることでかゆみ・赤み・湿疹などの症状が現れることがあります。

金属アレルギーの原因と考えられるもの
過去の歯科治療で金属の詰め物を入れた記憶はありますか?

過去の歯科治療で以下を詰めた記憶はありますか?

  • 金銀パラジウム合金
  • 水銀アマルガム
  • ニッケルクロム合金
  • 金合金
  • 銀合金
  • チタン

毒性がある歯科金属の可能性があります。

歯科治療においては、金銀パラジウム合金、水銀アマルガム、ニッケルクロム合金、銀合金、コバルトクロムなどの金属材料が使用されます。しかし、これらの材料の中には身体への影響が心配されるものもあります。特に金属アレルギーの症状や全身の疲れ、不眠などの症状は、体に合わない歯科金属が原因であることも考えられます。 当サロンでは、このような問題を解決するため、医科歯科連携による診断を基に、金属アレルギーに配慮した治療を推進しています。具体的には、体に適合しない歯科金属の除去や、金属を一切使用しないメタルフリー・ノンメタル治療を提供しています。これらの治療は、患者さまの健康と快適な生活をサポートするためのものです。当サロンでは、患者さま一人ひとりの体質や症状に最適な治療を選択し、健康的な口内環境を取り戻すことを目指しています。金属アレルギーの心配がある方、全身の疲労感や不眠が気になる方は、ぜひ一度当サロンまでお問い合わせください。

金銀パラジウム合金

パラジウムはリン球幼若化テストという金属アレルギーの検査で、約半数の人に陽性反応ができます。ドイツでは、保健省が「幼児及び妊婦に銅を含有するパラジウム合金と水銀・銀アマルガム合金を使用しない」という勧告を行った経緯があります。

水銀アマルガム

水銀アマルガムは成分が体内で長期間にわたって分解、放出される可能性があり、それがアレルギー反応や神経系に対する影響を引き起こすケースも報告されています。
特に、水銀に対するアレルギー反応を持つ人々には、皮膚炎や口内炎、さらには全身の疲れや不眠などの症状が見られることがあります。これは極端なケースも含めて、個々の体質や既存の健康状態に依存する問題です。

金合金

金合金は通常、金属アレルギーのリスクが低いとされていますが、例外も存在します。特に、純度が低い金合金は、銀、銅、パラジウムなど他の金属と混合されている場合が多く、これらの成分により、アレルギー反応のリスクが高まる可能性があります。そのため、金属アレルギーの症状や特定の金属に対する敏感性がある方は、使用する金合金の成分に注意が必要です。

銀合金

銀合金には銅や亜鉛、ニッケルなど他の金属が混ざっていることが多く、これらの金属がアレルギー反応を引き起こす場合があります。銀自体も一部の人々にアレルギー反応を引き起こす可能性があるとされています。そのため、特に金属アレルギーの既往歴がある方や敏感な肌をお持ちの方は、使用する銀合金製品や歯科材料に関して十分な注意が必要です。

チタン

チタンは金属アレルギーを引き起こす確率は非常に低いとされています。その生体適合性の高さから、インプラントや医療用具などにも頻繁に用いられます。しかし、完全にアレルギーフリーであるわけではありません。ごく稀にチタンに対するアレルギー反応が報告されています。その多くは、チタンが他の金属と合金として使用されている場合や、表面処理の過程で他の物質と反応している場合に見られます。

ひとつでも気になる点がある場合は
早期の検査と治療をおすすめします。

金属アレルギーは体全体に影響を及ぼす場合があります。特定のテストでアレルギー原因を突き止め、患者さまの体質と症状に合わせた治療法を選択し、健康的な口内環境を目指します。少しでも不調を感じたら、お早めにご相談ください。

治療の流れ Flow

金属アレルギー治療の専門的なアプローチを提供します。初診から皮膚科紹介、パッチテスト、金属除去、アフターフォローまで一貫したケアで患者さまの健康と安全を守ります。

step 1

当サロンにて診察

口腔内を確認させていただきます。

岡山の歯医者で金属アレルギーの可能性を診断
step 2

皮膚科紹介

症状があれば、当サロンが推薦・連携する皮膚科をご紹介させていただきます。

岡山ビューティースマイルサロンでは、岡山県内の皮膚科をご紹介しています
step 3

パッチテスト 皮膚科対応

金属アレルギーの可能性がある場合は、皮膚科にてパッチテストを実施し、アレルギー成分を特定します。
歯科と関係のない場合、皮膚科にて継続診療を行います。

岡山の皮膚科で行うパッチテスト
step 4

金属除去・修復

特定の金属を除去・非金属修復をします。

金属除去と修復のための歯科治療
step 5

アフターフォロー

治療後は口腔内と金属アレルギーのアフターフォローをさせていただきます。

金属アレルギー歯科治療のアフターケア

料金表 Price

金属を除去し、詰め物や被せ物を交換する料金についての情報です。各種素材と解説、その費用や保険適用等を明示し、安全で効果的な選択をご提案します。

詰め物(インレー)

オールセラミック e-max

55,000円(税込) /1本

保険 なし

保証 5年

セラミックを型枠に溶かし圧をかけて製作される100%セラミック製のインレー。100%セラミック素材でできているため、審美性に優れ強度も高いものになります。高い耐久性と変色やすり減りがなく劣化の可能性が低いことも特徴です。

ハイブリッドレジン

49,500円(税込) /1本

保険 なし

保証 5年

高硬度なプラスチック系の素材で製作されるインレー。自然な色合いに仕上げることができます。

被せ物(クラウン)

オールセラミック ジルコニア

165,000円(税込) /1本

保険 なし

保証 5年

歯の色である白い素材で最も高硬度な素材の上にセラミックを焼き付けたもの。宝飾品にも使われる素材で高い審美性と強度が特徴です。耐久性も高く、変色やすり減りなどの劣化の可能性も低いと言われています。

オールセラミックス

137,500円(税込) /1本

保険 なし

保証 5年

セラミック素材の土台の上にセラミックを焼き付けたセラミック100%のクラウン。天然の歯の色合いを表現することに最も優れています。また100%セラミックのため、変色やすり減りなどの劣化の可能性が低いことも特徴です。

オールジルコニア

110,000円(税込) /1本

保険 なし

保証 5年

白い素材の中で最も高硬度な素材のみで作られるため、変色やすり減りなどの劣化の可能性が低いクラウン。色合いの表現性は高くないですが、白い歯を入れるという中では最も硬く壊れにくいものです。

e-max

88,000円(税込) /1本

保険 なし

保証 5年

セラミックを型枠に溶かし圧をかけて製作される100%セラミック製のクラウン。100%セラミック素材でできているため、審美性に優れ強度も高いものになります。高い耐久性と変色やすり減りがなく劣化の可能性が低いことも特徴です。

セレック(ジルコニア)

88,000円(税込) /1本

保険 なし

保証 5年

セレックと呼ばれる機械システムによって最も高硬度な白い素材のみで製作されるクラウン。高硬度で壊れにくく、変色やすり減りなどの劣化の可能性が低いと言われています。

  • 医療費控除について: 当サロンでの治療費は、一定の条件下で医療費控除の対象となる可能性があります。
  • また、保険適用の可否も症状や治療内容により異なるため、詳しくはスタッフまでお問い合わせください。
  • 資料をご用意しておりますので、気軽にお尋ね下さい。

Case

当サロンのメタル除去症例

症例写真の中央のバーを動かすと、治療前後の写真を見比べることができます。症例の治療期間・回数は、症状や状態によって変わる場合があります。

case.01
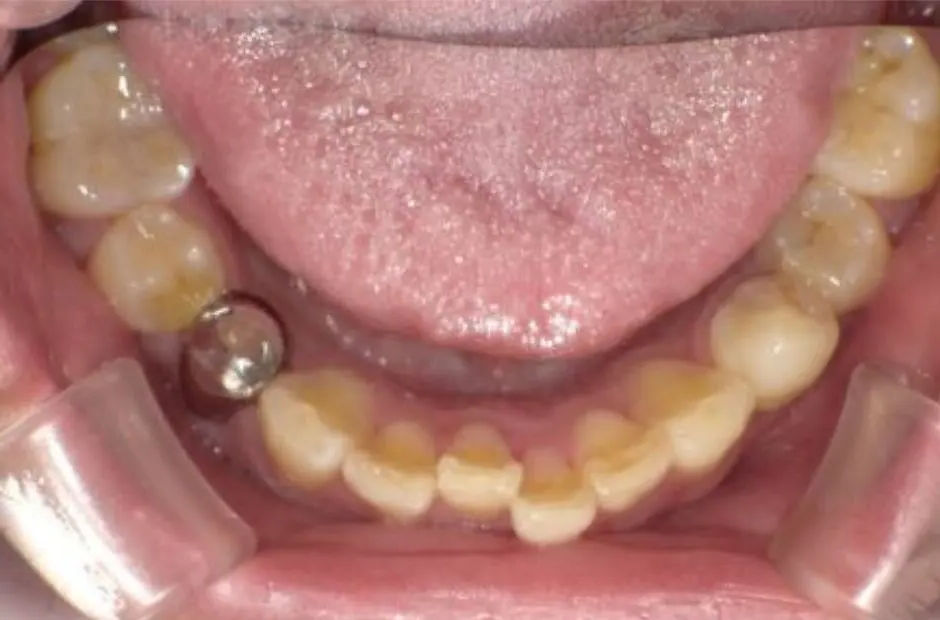
金属アレルギー治療の症例・治療前写真(銀歯1本)
金属アレルギー治療の症例・治療後写真(銀歯1本)

「 見た目の印象も変わる 」

口腔内のメタル除去で、見た目も劇的に変わります。金属を自然な素材に替えることで、笑顔が明るく、自信を持って会話できるように。印象を変えたい方は、おすすめです。

治療内容 古い銀歯を取り除き、代わりにe-maxクラウンを装着

治療期間/回数 1ヶ月/通院3回

費用 88,000円(税込、検査・診断、手術関連処置費用等は含まない)e-maxクラウン:88,000円/1カ所

リスク/副作用 咬合による割れ

case.02
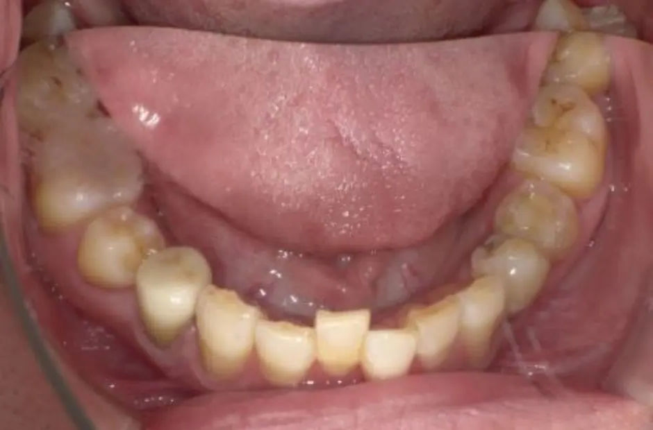
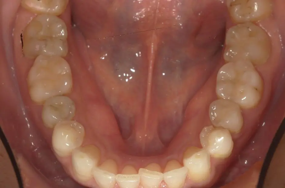
金属アレルギー治療の症例・治療前写真(銀歯7本)
金属アレルギー治療の症例・治療後写真(銀歯7本)

「 メタルフリーで、健康を手に! 」

当サロンのメタルフリー治療は、金属アレルギーの心配を排除し、健康な口内環境を実現します。高品質な非金属素材で安心と健康を手に入れましょう。

治療内容 古い銀歯を取り除き、レジンとセラミックを組み合わせて装着

治療期間/回数 2ヶ月/通院6回

費用 220,000円(税込)(検査・診断、手術関連処置費用、レジン装着の費用等は含まない)e-maxインレー:55,000円/1カ所

リスク/副作用 咬合による割れ

Purpose

口腔内から金属を除去する目的

口腔内から金属を除去する目的は多岐にわたります。金属アレルギーのリスク軽減はもちろん、それによる全身の健康への影響も大いに考慮されます。金属素材が原因での口内炎や刺激、さらには全身的な疲れや不調にも繋がる可能性があります。

for Allergy
岡山のメタルフリー治療で金属アレルギーのリスクを軽減

金属アレルギーを軽減

金属を口腔内から除去すると、アレルギー反応のリスクが軽減される可能性が高くなります。それにより、口内炎や舌の刺激、さらには遠く離れた体の部位でのアレルギー症状も改善されることがあります。また、金属アレルギーは全身の健康にも影響を与える場合があり、頭痛や疲れ、不眠などの症状も改善することが期待できます。

for Aesthetic
銀歯など金属の歯を除去することで見た目の印象が改善

見た目の印象を変える

金属材料はただ体に影響を与えるだけでなく、口元の見た目にも大きな影響を持っています。当サロンで行った口腔内のメタル除去の症例では、患者さま自身がその変化に驚かれるほどです。金属が除去され、自然な素材に置き換わることで、笑顔が一層明るく、自信をもって会話できるようになりました。美しさは健康から生まれます。

for Prevention
メタルフリー治療による病巣感染対策

病巣感染対策

口腔内の金属補綴物や装置は、時に微生物が付着しやすい表面を持つ場合があります。細菌が繁殖すると、口腔内だけでなく全身への感染のリスクが高まり、炎症や感染症を引き起こす場合があります。金属を除去し、抗菌性に優れたセラミックなどに置き換えることで、細菌の繁殖を抑える効果が期待できます。金属を口腔内から除去することは、病巣感染を予防し、全身の健康を守る重要な対策となる場合が多いです。

歯の治療では、歯医者選びがとても大切です。
一生モノの歯の健康は、歯医者選びから始まります。

歯科選びは、治療の質や結果に大きく影響します。歯科医師の技術や経験、設備の最新性、スタッフの対応などがポイントとなります。信頼できる歯医者選びで、長期的な歯の健康を守りましょう。

なぜ、岡山ビューティースマイルサロンに
相談する人が増えているの?

患者さまに寄り添う金属アレルギー歯科治療

痛みや不安を軽減します

患者さまに寄り添った治療

当サロンは「患者さまに寄り添った治療」を目指します。全年齢層の口腔健康を、治療技術と徹底した滅菌で守ります。治療前には詳しい説明をし、患者さまと家族が安心できるよう心掛けています。痛みを最小限にした治療を重視し、担当制で長期的なケアを提供。患者さま一人ひとりに合わせた、質の高い医療とホスピタリティで、安心と笑顔のあるクリニックを目指しています。それぞれの患者さまのニーズに応じた、真心のこもった治療を提供することをお約束します。

歯科と皮膚科の連携による金属アレルギー歯科治療

生活の質の向上へ

歯科と医科連携による治療

当サロンでは、歯科と医科の連携により、より高度で総合的な治療を提供しています。金属アレルギーの疑いがある場合には、皮膚科と連携してパッチテストを行い、問題のある金属を特定して除去します。非金属修復も選択肢に含まれており、患者さま一人ひとりの健康状態とライフスタイルに合わせた治療プランを提案します。私たちは、歯の健康だけでなく、全身の健康も考慮に入れています。これにより、患者さまがより健康で快適な生活を送ることができるようサポートします。

金属アレルギー歯科治療の多様な料金設定

豊富な選択肢

幅広い料金設定

「歯医者に行くとすぐに高いものをすすめられる」という話をよく聞きます。当サロンでは患者さまのニーズと予算に合わせた柔軟な治療プランを提供いたします。まずは、お口の状態を丁寧に説明し、治療方針に納得いただいた上で選択していただきます。保険内外での治療方法や材料の違いも明確にご説明いたします。当サロンは、患者さまが納得して治療を受けられるよう、最善のケアを提供します。

銀歯や金歯など金属の歯を卒業してメタルフリーになりたいなら
岡山ビューティースマイルサロンにお任せください。

歯科と医科を連携させた医科歯科連携治療を
知り尽くした歯科医師が、お口と身体を健康にします。

24時間受付中
Webで予約する

金属アレルギー治療への想い Philosophy

岡山ビューティースマイルサロンは金属アレルギーの患者さまにとって身近な存在でありたいと考えています

患者さまの身近な存在でありたい

当サロンは地域の皆様に信頼される、身近な歯医者を目指しています。金属アレルギーに対する治療では、医科と緊密に連携を取り合い、専門の検査手段を用いて正確な診断を行っています。それにより、一人ひとりの患者さまに最適な治療プランを提案します。
さらに、金属アレルギーに関する正確な情報を広める啓発活動も行っています。
治療に際しては、患者さまが抱える問題や疑問に対し、十分な説明と共に治療方針を明確にし、安心して治療を受けていただけるよう配慮しています。そのための個別カウンセリングや治療後のフォローアップも欠かしません。
このように、当サロンは患者さまの生涯にわたる健康をサポートすると共に、地域全体の口腔健康向上にも貢献しています。

メタルフリー治療で、金属アレルギー患者さまの人生をより健やかに幸せに

豊かで幸せな人生を患者さまと共に歩む

当サロンでは、患者さまの全身の健康と生活の質(QOL)の向上を重視しています。
金属アレルギー治療においては、医科との連携で検査や診断を行い、最も適切な治療法を選択し、笑顔の回復はもちろん、日常生活で口腔が果たす多くの役割をスムーズにし、患者さまがより豊かで幸せな人生を送れるようサポートします。
治療プランの立案から実施、アフターケアに至るまで、患者さま一人ひとりのライフスタイルや希望を踏まえた上での治療を心掛けています。治療が成功した後も、定期的なフォローアップやメンテナンスを提供。患者さまが持続的な口腔健康を維持できるよう全力でサポートします。
総合的なアプローチで、患者さまの人生全体に良い影響をもたらすことを目指しています。

金属アレルギー患者さまの健康寿命を延ばすお手伝いをしたい

患者さまの健康寿命を延ばしたい

当サロンは、単に口腔内の症状を和らげるだけでなく、全身の健康も深く考慮して治療を行います。そのため、医科とも連携を取っています。金属アレルギー治療においては、皮膚科と連携した上で、高度な検査手法を用いて正確な診断を行います。
これにより、金属アレルギーに起因する様々な体調不良や症状を早期に発見し、根本的な治療を行うことが可能です。治療後は定期的なフォローアップを行い、生活習慣の改善や再発防止のアドバイスを提供しますので、患者さまが持つ可能性のあるアレルギーによる健康リスクを最小限に抑え、健康寿命を延ばすことが可能です。
当サロンは患者さまがより長く、より質の高い健康寿命を送れるよう、総合的な医療サービスを提供します。

FAQ

よくあるご質問

金属アレルギーの症状は何ですか?
金属アレルギーの一般的な症状には、皮膚の赤み、かゆみ、発疹がありますが、重度の場合には呼吸困難や消化不良なども発生する可能性があります。
金属アレルギー治療は見た目にどれくらい影響があるのですか?
当サロンでは審美面も非常に重視しています。治療後の見た目に関しては、自然な仕上がりとなるような材料選びと施術方法にこだわっています。特に、顔や口元への影響を最小限に抑え、自然な美しさを保つよう努力しています。
金属アレルギーを特定するために、どのような診断テストがあり、精度はどれくらいですか?
推薦・連携した皮膚科では血液テストやパッチテストなど、多角的な診断方法を用いています。これらのテストは非常に高い精度でアレルギーを特定できます。
金属アレルギーは全身の健康にどのような影響を及ぼしますか?
金属アレルギーは皮膚症状に留まらず、場合によっては消化系、呼吸器、または神経系にも影響を与える可能性があります。これらの症状がある場合、早急に対応することが重要です。
金属アレルギー治療で改善できる他の健康問題はどんなものですか?
金属アレルギーの治療は、関連する皮膚症状や消化器症状、さらには呼吸器症状なども改善されるケースが多いです。当サロンでは医科と連携して、全身の健康状態も詳細に診断し、最適な治療プランを考案します。
治療法によっては副作用やリスクがあるのですか?
一般的には副作用やリスクは少ないですが、それでも症状や体質によっては注意が必要です。治療前には必ず詳細な医学的評価を行い、リスクを最小限に抑えるようにしています。
すでにアレルギーが確認されている場合の治療プロセスはどうなりますか?
既にアレルギーが確認されている場合、そのレベルや種類に応じて個別の治療プランを作成します。治療プランには、適切な歯科材料選び、治療方法、そして継続的なケアとフォローアップが含まれます。
アレルギーが強い場合、どのような特別な対応がありますか?
アレルギーが特に強い場合は、高度な専門治療が必要となります。可能であれば、アレルゲンを完全に除去し、高度な代替材料や治療法を用いて症状をコントロールします。
代替材料(セラミック、プラスチック等)の見た目や耐久性について教えてください。
当サロンでは、セラミックや特殊プラスチックなど、見た目に優れた代替材料も豊富に用意しています。これらの材料は高い耐久性があり、長期間自然な美しさを保つことが可能です。
金属アレルギー治療後のケアやメンテナンスはありますか?
金属アレルギー治療後は定期的なフォローアップが必要です。当サロンでは治療後も継続的に症状のチェックを行い、必要なケアやメンテナンスプランを提供しています。
金属アレルギー治療は保険が適用されますか?
当サロンの金属アレルギー治療は一部保険適用となっています。ただし、適用される範囲や条件があるため、事前にお問い合わせいただくことをお勧めします。

Initiatives

学びへの取り組み

当サロンでは、患者さまによりよい治療を提供するため、日々の研鑽と技術の向上に努めております。

医科歯科連携の強化

岡山ビューティースマイルサロンと皮膚科の連携

お口の健康は全身の健康と密接に関わっています。当サロンでは"医科歯科連携"を積極的に推進しています。これは、口腔内の問題が全身の健康に影響を与えることが科学的に証明されているからです。当サロンの専門チームは、患者さまに最適な治療を提供するために、医科の専門家と連携しています。より効果的な治療と医療費の節約を実現しています。当サロンが全力でサポートします。

スタッフの研修・資格の強化

金属アレルギー歯科治療に関わるスタッフの研修・資格体制の強化

当サロンにはTC(Treatment Coordinator)資格を持つスタッフを置いております。この資格は治療計画や患者さまとのコミュニケーションに不可欠です。 TC資格保有者が専門的なアドバイスを提供し、安心して治療を受けられる環境を作っています。これが当サロンの高評価と信頼の一因となっており、多くの患者さまに支持されています。

治療の研究と技術の導入

金属アレルギー歯科治療の研究とより良い技術の導入

当サロンでは、治療をよりよいものにできるよう日々の研究や新しい技術を導入しています。レーザー治療、デジタルレントゲン、高度な診断ソフトウェアなど、先進的な設備を積極的に使用。早期発見と効率的な治療が可能で、患者さまの痛みも最小限に。テクノロジーの活用により、治療の質が大幅に向上し、患者さまの満足度も高まっています。こちらが当サロンを選んでいただく理由の一つとなっております

金属を使用しないノンメタルな歯科治療なら
岡山ビューティースマイルサロンにお任せください。

歯科と医科を連携させた医科歯科連携治療を
知り尽くした歯科医師が、お口と身体を健康にします。

24時間受付中
Webで予約する

監修医院 : 医療法人なかの歯科クリニック
〒700-0074 岡山県岡山市北区矢坂東町6-1

※駐車場:32台収容。第1駐車場(15台)が満車の場合は、第2駐車場(17台)をご利用ください。
※バス:中鉄バス 佐山団地行きに乗車。バス停「平津橋」で下車後、徒歩5~8分

診療時間 日・祝
9:30-13:00 -
14:00-18:00 -

△水曜午後:14:30~19:00、 △土曜午後:14:00~17:00